VIP동물의료센터는
심도 있는 치료까지 책임집니다.
폐출혈과 오연성 폐렴을 동반한 강아지 IMT 집중 치료 사례
- 작성자
- 관리자
- 등록일
- 2026-01-28
- 조회수
- 286
■ 환자 기본 정보
동물 이름 : 테오
나이 : 11살
성별 : 중성화 남아
품종 : 말티즈
주요 증상 : 갑작스런 구토 이후 기력저하, 기침

■ 내원 당시 환자의 상태
나이는 많지만 그동안 큰 질환 없이 비교적 건강하게 지내던 환자였습니다.
전날 밤 구토 이후 갑작스러운 컨디션 저하가 나타나 내원하였으며,보호자님께서 말씀해주신 주증상은 기침과 기력 저하였습니다.
■ 검사 방법 및 결과
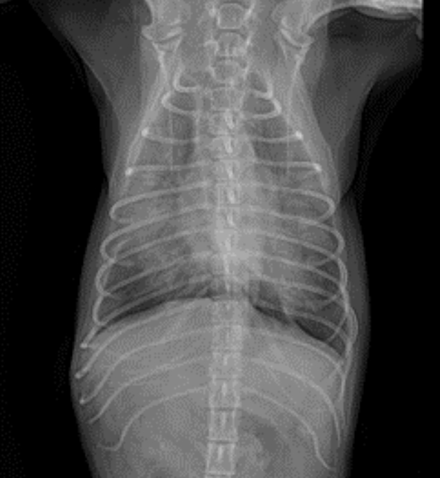
구토 이후 발생한 기침이라는 병력을 고려했을 때,가장 우선적으로 오연성 폐렴을 의심할 수 있는 상황이었기 때문에 흉부 방사선 촬영과 혈액검사를 진행했습니다. ▼
방사선 검사에서는 폐야 전반에 걸친 폐침윤이 확인되었고, 혈액검사에서는 염증 수치 상승 소견이 관찰되었습니다.
병력과 검사 결과를 종합했을 때 오연성 폐렴이 의심되었으나, 폐 병변의 범위와 정도가 비교적 심한 편이었기 때문에 다른 원인 질환에 대한 감별도 필요하다고 판단하여 보호자님께 전반적인 추가 검사를 제안드렸습니다.
한편, 보호자님께 직접 말씀드리지는 않았지만 채혈 과정에서 비교적 쉽게 멍이 드는 모습이 관찰되어 추가적인 이상 가능성에 대해서도 염두에 두고 접근할 필요가 있는 상황이었습니다. ▼

기본적인 혈액검사와 함께, 구토의 원인 중 소화기계 문제를 감별하기 위해 복부 초음파 검사를 진행하였습니다.
초음파 검사상에서는 특이 소견이 확인되지 않았습니다.
그러나 혈액검사 결과, 혈소판 수치(PLT)가 9k/μL로 매우 낮게 측정되었으며 (정상 범위: 200–500k/μL), 혈액 도말 검사에서도 실제 혈소판 감소가 확인되었습니다. ▼
이에 따라 단순한 오연성 폐렴이 아닌, 폐출혈에 대한 추가적인 감별이 필요하다고 판단하였습니다.
또한 현재의 혈소판 감소 원인으로는 폐출혈, 염증, 감염, 면역계 질환 등 다양한 가능성이 있어 이에 대한 감별이 필요함을 보호자님께 안내드렸습니다.
폐렴, 폐출혈, 그리고 혈소판 감소증에 준하여 입원 치료를 시작하였습니다.
입원 1일차에도 혈소판 수치는 여전히 낮은 상태였으며, D-dimer 수치는 측정 불가 수준으로 상승한 것이 확인되었습니다.
단순한 출혈로 인한 소모로 판단하기에는 HCT는 정상 범위를 유지하고 있는 반면 혈소판 수치만 지속적으로 감소하는 양상이었기에, 1차적인 원인으로 혈소판 감소증에 의한 출혈 가능성을 우선 고려하였습니다.
이에 따라 혈소판 감소의 원인 감별을 위해 PCR 검사 등 추가 검사를 진행하였으며, PCR 검사 결과를 기다리는(pending) 동안 혈소판 감소증의 원인이 IMT일 가능성이 높다고 판단되어 선제적인 치료를 시작하였습니다.


PCR 검사 결과는 양호하게 확인되었으며, IMT에 준한 치료를 진행하는 과정에서 혈소판 수치가 점차 상승하기 시작하였습니다.
검사 결과를 종합하여 IMT로 최종 진단하였으며, 이에 따라 오연성 폐렴과 병행하여 치료를 진행하였습니다.
혈소판 감소증은 다양한 원인에 의해 발생할 수 있으나, 체계적인 감별 과정을 통해 본 환자는 IMT로 진단하였습니다.
IMT는 자가면역 질환의 일종으로, 강아지의 면역체계가 자신의 혈소판을 항원으로 오인하여 파괴하는 질병입니다.
혈소판 수치가 감소할 경우 출혈이 쉽게 발생할 수 있으며,출혈 부위에 따라 증상은 피부, 소화기, 호흡기 등 다양한 형태로 나타날 수 있습니다.
본 환자는 이러한 출혈 증상이 호흡기 문제로 나타나 내원한 사례였습니다.


■ 치료 및 경과

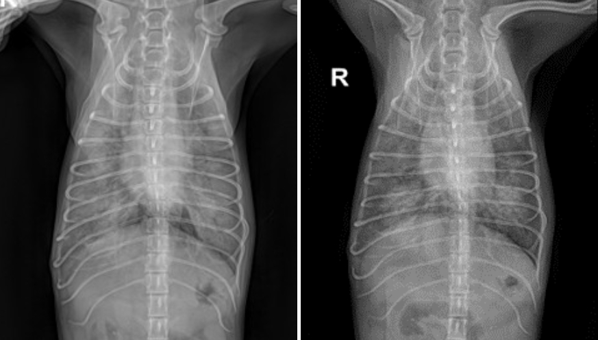
치료 2일차(좌) /치료 3일차(우)
입원 2일차, 테오는 호흡 상태가 점차 악화되었으며 방사선 검사상에서도 폐 상태가 이전보다 악화된 소견이 확인되었습니다.
새벽 시간대에 전반적인 상태가 급격히 나빠지며 응급 상황 가능성이 있어 보호자님 면회를 추가적으로 진행하였습니다.
지금도 당시의 상황을 떠올리면,보호자님과 의료진 모두에게 쉽지 않았던 순간이었습니다.
이후 중환자실에서 산소 처치 및 치료 보강 등 집중 케어를 진행하였고, 다행히 입원 4일차부터는 호흡 상태가 점차 안정되면서 전반적인 컨디션이 빠르게 회복되는 모습을 확인할 수 있었습니다.

치료 4일차(좌) /치료 5일차(우)
치료 7일차에 시행한 혈액검사 수치 및 방사선 검사 결과에서 전반적인 호전 소견이 확인되었습니다.
위기였던 시기는 무사히 넘겼으며, 상태가 안정적으로 회복됨에 따라 장기적으로 IMT에 준한 내복약 복용을 병행하며 관리를 시작하였습니다.
현재는 약물 용량도 점차 감량하며, 전반적으로 건강한 상태를 유지하며 잘 지내고 있습니다.
갑작스러운 증상에도 불구하고 보호자님께서 당황하지 않고 즉각 내원해주신 덕분에 신속한 진단과 치료가 가능했습니다.
만약 단순 폐렴으로 판단하여 치료가 진행되었다면, 상태는 예정대로 더욱 악화되어 치명적인 결과로 이어질 수 있었던 상황이었습니다.
혈소판 감소증이 확인된 당일부터 빠른 판단하에 응급 치료를 시작하였기에 환자는 비교적 빠르게 회복할 수 있었던 것으로 판단됩니다.
이번 사례는 치료를 지체할 경우 더욱 위험해질 수 있었던 급박한 상황 속에서, 정확한 감별 진단과 신속한 치료 도입의 중요성을 보여주는 케이스입니다.
폐출혈은 원인이 다양할 수 있는 만큼 1차적인 원인 감별이 매우 중요하며,조기에 적절한 치료가 이루어질 경우 예후는 양호할 수 있음을 시사합니다.
VIP동물의료센터 서초점 이원창 팀장