VIP동물의료센터는
심도 있는 치료까지 책임집니다.
강아지 십자인대 파열, TPLO 수술 치료 사례
- 작성자
- 관리자
- 등록일
- 2026-02-20
- 조회수
- 10
■ 환자 기본 정보
동물 이름 : 명란
나이 : 10살
성별 : 중성화 남아
품종 : 비숑 프리제
주요 증상 : 우측 뒷다리 딛지 못함
■ 내원 당시 환자의 상태
명란이는 오른쪽 뒷다리 파행이 2주 이상 지속되고 있었습니다. 타원에서 진통소염제를 처방받아 꾸준히 복약했음에도 호전이 없었습니다.
내원 시 보호자님과 문진 후 아이는 처치실로 들어와 보행검사, 신체검사, 엑스레이 검사 순으로 면밀한 검사를 거치게 됩니다.
보행을 미끄럽지 않은 바닥에서 시켜봤을 시, 우측 다리를 완전히 들고 걸어다니고 있었으며, 신체검사상, 십자인대가 끊어졌을 때 양성을 보이는 검사 두가지에서 모두 양성 반응을 보였습니다.

■ 검사 방법 및 결과
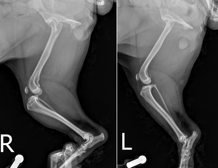
엑스레이 상 십자인대가 끊어지면서 무릎이 앞으로 밀리는 소견이 확인되었습니다.
또한 십자인대가 끊어지게 되면 급성 관절염 및 부종 소견이 동반될 수 있는데 그 또한 확인되어 종합적으로 봤을 때, 환자는 우측 십자인대 완전 단열로 인해 이미 관절염도 진행되고 있고 통증이 있는 것으로 고려되었습니다.
TPLO 수술을 계획하기 위해서는 엑스레이 촬영 했을 때 좌측에 보이는 calibration ball 을 같이 포함하여 촬영을 해야합니다. ▼

* 관절내 부종이 확인됩니다.

* 무릎을 굽힌 상태로 엑스레이 촬영 시 십자인대 단열로 인해 무릎이 앞으로 전방변위되는 것이 확인됩니다.
그리하여 명란이는 우측 십자인대 단열에 대한 TPLO 수술을 계획하게 되었습니다. TPLO 는 무릎의 각도롤 교정해서 십자인대가 밀리면서 유발되는 통증을 느끼지 못하도록 하는 수술법입니다.
저희 병원은 vpop PRO 프로그램을 사용해서 환자 개개인에 맞는 수술을 계획 할 수 있습니다.
프로그램을 통해 각도를 얼마나 돌릴 지, 어떠한 플레이트와 스크류를 사용하여 고정을 할지 ,수술 후 예상되는 변화는 어떤지 미리 볼 수 있기 때문에 충분한 계획을 가지고 수술을 진행하게 됩니다. ▼

■ 수술/치료 방법
수술 부위는 일차적으로 마취과 선생님께서 직접 국소마취를 해주시게 됩니다. 환자는 진통수액 외에도 8시간 동안 수술 부위에 대한 통증을 느끼지 못하게 됩니다.▼

이후 수술부위를 삭모하고 멸균적으로 소독 후 수술을 시작합니다. 수술은 vpop pro 에서 계획한대로 순차적으로 진행되었습니다. 이후 십자인대가 끊어지면서 관절염을 유발했기 때문에 관절 회복을 위한 관절 내 애니콘주를 주사한 후 수술을 마무리했습니다. ▼

■ 수술/치료 경과
수술 후 엑스레이를 재촬영 하여 잘 진행되었는지 평가합니다.
환자는 무릎 각도가 수술 후 얻고자 하는 각도로 잘 변형 된 것으로 보였으며 플레이트와 스크류도 뼈 내 잘 안착 된 것으로 확인되었습니다. ▼

수술 당일 부터 다음날까지는 마약성 진통수액을 맞습니다.
밤사이 환자의 통증 정도에 따라 수액 속도를 조절할지 꼼꼼히 인계하며 환자는 24시간 케어를 받습니다.
이후 환자는 회복실로 이동합니다. 회복실은 보다 조용하고 환자가 좀 더 편안한 환경에서 지낼 수 있습니다. 미끄럼 바지 바닥이 있어 불편한 다리이지만 안전하게 걸을 수 있도록 환경이 제공됩니다.
이틀 정도는 붕대를 함으로서 부종을 줄이는데 도와주고 그 외 레이저,냉각치료를 통해 수술 부위 회복을 위한 치료를 적극적으로 합니다.
명란이는 수술 후 3일차 부터 붕대를 풀고 잘 걷기 시작하였습니다.
큰 부종이나 멍 없이 잘 회복 하였고, 실외 배변배뇨를 하는 아이다 보니 옥상 정원에 안고 올라가서 산책을 시켜주었습니다. 배변 배뇨도 시원하게 하고 자기가 스스로 냄새를 맡으며 걸으면서 다리 쓰는 연습을 자연스럽게 유도하였습니다. 큰 파행 없이 다리를 잘 부중하며 걷는 모습을 보호자님께도 전달드렸습니다.
다만 반대쪽 다리 십자인대 단열 가능성도 있을 수 있기 때문에 보호자에게 꾸준히 체중감량을 하고, 건강한 재활과 운동을 해주실 것 안내드렸습니다.
일년에 한번씩 엑스레이를 통해 추적 모니터링 하며 양측 다리 모두 건강한지 같이 보호자님과 보기로 하였습니다.
VIP동물의료센터 청담점은 Fearfree 를 중시합니다.
환자가 병원에 입원하는 기간을 오히려 의료진과 친해지고 병원이라는 환경에서 익숙해지고 편안함 마음을 가질 수 있는 기회라고 생각합니다.
또한 환자뿐만 아니라 보호자님도 아이를 저희 병원에 맡기실 수 있도록 소통의 중요성을 인지하고 있습니다.
최대한 우리 환자가 병원에 있으면서 회복에 최선을 다하고 잘 지내고 있는 모습을 공유드릴 수 있도록 노력합니다.
VIP동물의료센터 청담점 김종인 원장