VIP동물의료센터는
심도 있는 치료까지 책임집니다.
고양이 슬개골 탈구의 수술적 교정 증례
- 작성자
- 관리자
- 등록일
- 2025-12-18
- 조회수
- 206
고양이 슬개골 탈구의 수술적 교정 증례
■ 환자 기본 정보
동물 이름 : 진순
나이 : 9살
성별 : 중성화 남
품종 : 러시안 블루
주요 증상 : 후지 다리 불편감 및 운동량 감소
■ 내원 당시 환자의 상태
9살 중성화 수컷 러시안 블루 진순이는 약 4~5년 전부터 지속적인 후지 불편 증상을 보여왔습니다.
주로 해먹이나 계단 등 높은 곳에서 내려온 이후 뒷다리를 덜 사용하거나 움츠리는 행동이 반복적으로 관찰되었으며, 이러한 증상을 주소로 본원에 내원하였습니다.

■ 검사 방법 및 결과
신체검사 및 혈액검사 : 체중은 5.8kg에 고양이의 비만도를 평가할 수 있는 BCS(Body condition score)는 9중 7 정도로 과체중 상태였습니다. 혈액검사 상에서는 전혈구 검사(CBC), 혈액화학검사, 혈액가스검사 모두 특이사항은 없었습니다.
정형검사 : 정형검사 상 양측 슬개골 내측 탈구가 확인되었으며, 양측 모두 인위적인 환납은 가능하지만 슬개골이 탈구된 상태인 Grade 3로 확인되었습니다.
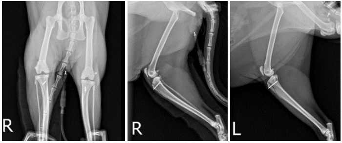
방사선 검사 : 후지 방사선 상 복배상(VD view)에서는 양측 슬개골이 활차구 내 위치하지 않고 내측으로 변위되어 있는 모습을 확인할 수 있었습니다. 또한 양쪽 무릎관절 전반에 걸쳐 골극(Osteophyte) 형성, 관절 내 삼출액 등 퇴행성 관절염 소견이 확인되었습니다. ▼

관절액 검사: 영상 검사에서 확인된 무릎 관절의 퇴행성 변화 및 관절염 소견을 근거로, 관절염의 성격을 파악하기 위해 관절액 검사를 진행하였습니다.
관절액 검사 결과, 관절액의 점도는 양호하게 유지되고 있었지만, 세포 검사에서 단핵구(Monocyte)가 주로 관찰되었으며, 이는 만성적인 골관절염이나 퇴행성 변화 등에서나타날 수 있는 백혈구의 한 종류입니다.▼


진단결과 : 병력과 검사결과를 종합하여, 진순이는 장기간에 걸쳐 발생한 만성적인 슬개골 내측 탈구로 인해 이차적으로 퇴행성 관절염이 발생한 것으로 진단되었습니다.
특히, 슬개골 탈구는 불편감을 호소하는 등의 증상을 동반하고 있으며, 수술이 지시되는 단계인 3기로 확인되었기 때문에 수술적 교정을 진행하는 것으로 결정하였습니다.
철수는 양측 슬개골 탈구로 인한 중등도 이상의 관절염이 확인되었으며, 실제로 절개 후 관절면을 확인하였을 때 가골이 형성되어 있는 모습을 확인할 수 있었습니다. ▼
이에 대해서 슬개골의 정상 위치 복원과 함께 관절 기능의 개선을 목표로 총 4단계의 수술적 교정을 진행하였습니다.
우선 첫번째로, 슬개골이 안착하는 홈인 활차구를 사각형 형태로 파내는 TBR(Trochlear block recession) 기법을 적용하여 슬개골이 안정적으로 위치할 수 있도록 하였습니다.
단, 고양이는 개와 달리 슬개골 형태가 넓기 때문에 홈을 깊게 조성할 경우 제자리에 잘 삽입되지 않거나 관절면이 손상될 수 있기 때문에 이러한 해부학적 특성을 고려하여 홈을 너무 깊지 않게 조성해주었습니다. ▼

다음으로, 철수의 경우 슬개골이 만성적으로 내측으로 탈구되어있는 상태였기 때문에 이를 바로잡기 위해 슬개골 주변 연부조직의 균형을 조정해주는 두 단계의 수술적 절차를 함께 진행해주었습니다.
먼저, 슬개골을 안쪽으로 당기고 있던 조직은 절개해서 풀어주고, 반대로 느슨해져있는 외측 조직은 봉합하여 당겨주는 방식으로 슬개골이 제 위치에 있을 수 있도록 균형을 맞춰주었습니다.
이후 슬개골 인대가 부착되는 경골조면을 절골하여 바깥쪽으로 옮긴 뒤 핀으로 고정하는 TTT(Tibial tuberosity Transposition) 기법을 사용하여 근육 및 인대의 정렬을 조정해주었습니다.
마지막으로, 관절 내 윤활역할을 통해 염증 및 통증을 완화하고, 연골 보호 효과를 기대할 수 있도록 애니콘주를 관절 내로 주사한 후 수술을 마무리하였습니다. ▼

■ 수술 / 치료 경과
수술 직후 방사선 검사 상에서도 슬개골이 고랑 내에 잘 위치하고 있으며, 골편을 고정시키기 위한 핀도 잘 삽입되어있는 모습을 확인할 수 있었습니다.

VIP동물의료센터 청담점 이상준 수의사