VIP동물의료센터는
심도 있는 치료까지 책임집니다.
강아지 질탈 교정술 중 마취 전 검사에서 발견된 추가 종양 진단 사례
- 작성자
- 관리자
- 등록일
- 2026-03-04
- 조회수
- 25
■ 환자 기본 정보
동물 이름 : 꿍이
나이 : 15살
성별 : 여아
품종 : 말티즈
주요 증상 : 질 탈장 부위의 환납 불가, 괴사
■ 내원 당시 환자의 상태
꿍이는 질 탈장이 발생한 뒤 타원에 내원하였으나 환납이 어려운 상태였습니다.
노령의 나이로 인해 수술을 피하고 싶어 하셨던 보호자님께서 이틀가량 가정에서 케어를 해주셨지만, 점막 색조에 변화가 나타나 본원으로 내원하였습니다.
내원 당시 탈장 부위에는 일부 괴사가 동반되어 있었으며, 심한 울혈로 인해 환납이 불가능한 상태였습니다. 그대로 둘 경우 조직 괴사가 진행되어 전신에 영향을 미칠 수 있어, 외과적 개입이 불가피한 상황이었습니다. ▼

■ 검사 방법 및 결과
외과적 교정을 위해 마취 전 검사를 실시하였으며, 재발 방지를 위한 난소자궁절제술(암컷 중성화)과 좌측 3번, 4-5번 사이, 5번 유선 및 우측 5번에서 확인된 유선 종괴에 대한 조직검사 계획을 수립했습니다.
마취 전 검사에서 빈혈이 확인되었고, 염증 수치와 혈전 수치, 종양/염증 시 상승할 수 있는 Globulin 수치 또한 증가되어 있었습니다. 문진상 최소 한 달 전부터 질 부위 출혈이 있었던 것으로 보이며, 만성 출혈로 인한 재생성 빈혈로 판단하였습니다. 수술이 불가능한 정도는 아니었으나, 술 후 수혈 가능성도 염두에 두고 있었습니다.
신장 수치인 BUN, Creatinine의 상승도 확인되었으나 조기 신장 지표인 SDMA는 정상 범위였습니다. 탈수로 인한 일시적 상승 가능성을 고려하였으며, 하루 수액 처치 후 정상화되어 예정대로 수술을 진행했습니다. ▼

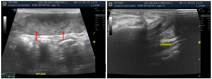
초음파 검사상 CKD, 간 결절, 담낭 슬러지 등 몇 가지 기저질환이 확인되었으며, 비장 실질의 불균질한 변화(↑)와 비장 결절도 관찰되었습니다. 악성 종양에 의한 비장 실질 변화 가능성을 고려하여, 마취 시 FNA를 함께 진행하기로 하였습니다.
보호자님께서는 꿍이가 가지고 있는 종괴(유선 등)가 악성으로 확인되더라도 추후 전이 평가나 항암 등의 추가 치료는 원하지 않으셨습니다. 이에 삶의 질 개선을 위한 질탈 교정을 목적으로, CT 촬영 없이 수술을 진행하였습니다. ▼

■ 수술/치료 방법
수술 중 확인한 결과, 꿍이의 질탈 부위는 질 종괴의 탈장이었던 것으로 확인되었습니다.
이는 질 종괴 제거, 중성화, 유선 절제술을 성공적으로 마쳤으며, 기존에 FNA를 계획했던 비장 부위는 육안상 비장 전체의 종양성 변화 가능성이 높게 판단되어 비장 적출술로 변경하여 진행했습니다. ▼

■ 수술/치료 경과
수술 계획 수립 전 상담드린 바와 같이, 악성 혈관육종으로 확인되더라도 추가적인 전이 평가나 항암 치료는 진행하지 않기로 하였습니다.
꿍이는 빈혈 수치와 염증 수치가 정상 범위로 회복되는 추세이며, 수술 부위 또한 잘 아물어 발사까지 완료했습니다. 현재는 탈장 부위의 불편감 없이 보호자님 품에서 식욕과 활력을 유지하며 잘 지내고 있습니다. ▼


질탈이나 질 종괴 탈장은 괴사로 진행될 경우 전신에 영향을 미칠 수 있어, 신속한 환납이 중요합니다.
또한 꿍이의 경우, 마취 전 검사에서 확인된 비장 실질의 변화를 간과하지 않았으며, 수술 중 신속한 판단으로 비장 적출을 시행하여 두 차례의 마취 없이 악성 종양을 제거할 수 있었습니다.
영상의학과, 내과, 외과의 협진을 통해 아이의 삶의 질을 개선함과 동시에 체내에 존재하던 추가 악성 종양을 신속히 발견하고 제거할 수 있었던 케이스였습니다.
VIP동물의료센터 동대문점 김예은 수의사